Tehnologie de vârf în diagnosticul cancerului de prostată, introdusă la Spitalul Județean Satu Mare. În contextul în care cancerul de prostată reprezintă cel mai prevalent neoplasm la bărbați, Spitalul Județean de Urgență Satu Mare anunță introducerea și extinderea biopsiilor prostatice prin tehnica RMN-fusion – un progres important în urologie. Această tehnică se numără printre cele mai moderne și precise metode de diagnostic în suspiciunea de cancer de prostată.
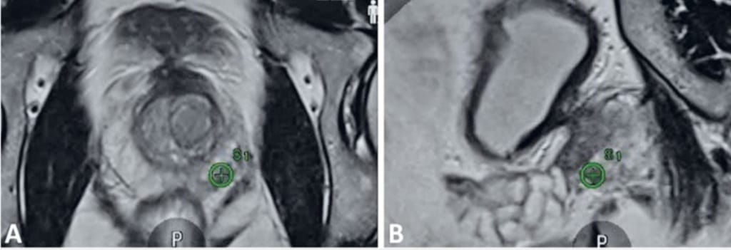
Biopsia RMN-fusion combină imagistica prin rezonanță magnetică multiparametrică (IRM/mp) cu ghidarea ecografică transrectală, permițând medicului să identifice și să preleveze țesut exact din zonele suspecte identificate ale prostatei. Astfel, precizia diagnosticului crește semnificativ comparativ cu biopsiile clasice realizate „în orb”.
Procedura se desfășoară în cadrul Spitalului Judetean de Urgență Satu Mare, utilizând ecograful Fujifilm Arietta 880, cu anestezie generală intravenoasă, în regim de spitalizare de zi, iar recuperarea este rapidă. Accesul la procedură se face pe baza biletului de trimitere de la medicul de familie, după consultul prealabil în ambulatoriul de urologie.
Principiul procedurii se bazează pe suprapunerea imaginilor obținute anterior prin RMN peste imaginile ecografice în timp real. Software-ul dedicat fuzionează cele două seturi de date, generând o hartă tridimensională detaliată a prostatei. Această abordare permite prelevarea țintită a probelor din leziunile cu risc crescut, identificate anterior prin RMN ca fiind suspecte conform scorului PIRADS.
Prin localizarea exactă a leziunilor, această tehnică contribuie la stabilirea unui plan terapeutic personalizat, fie că este vorba despre supraveghere activă, tratament focal sau intervenție radicală. Această metodă oferă un echilibru ideal între precizie, siguranță și confort, consolidând rolul diagnosticului imagistic avansat în identificarea precoce a bolii.
Utilizarea ecografului Fujifilm Arietta 880 permite și efectuarea altor proceduri eco-ghidate în Secția de Urologie a SJUSM, precum biopsii renale, montarea de nefrostome percutanate în cazurile de sepsis urinar sau uropatie obstructivă, respectiv drenajul abceselor și colectiilor cu localizări multiple prin abord lombar (abcese peri si pararenale), transrectal si transperineal (abcese prostatice sau de vezicule seminale).
,,Mentionăm pe această cale contribuția semnificativă adusă de Clinica Ametyst Cluj-Napoca în vederea achiziției sondei endorectale biplane cu ajutorul căreia efectuăm biopsiile prostatice RMN-fusion”, transmit reprezentanții Spitalului Județean Satu Mare.





Felicitări medicilor și spitalului!